
Neng (4th from left) and his supportive father, Mr Lim (5th from left), with SJMC's multidisciplinary team, from left; Dr Kenny Cheng, Dr Navinsatku Nithianandhan, Dr Liew Ngoh Chin, and Dr Eng Chee Yean on the day of his hospital discharge in March 2023.
Neng would feel tickles down his throat, with itching and frequent coughs. He was unable to lie flat. That resulted in weeks of interrupted sleep and the only way was to sleep sideways with his head propped up. That would have been uncomfortable for most of us. Breathing became increasingly difficult, and his voice became hoarse and fainter by the day. That was Neng at the end of 2022. He was only 26 years old.
Neng was eventually referred to Subang Jaya Medical Centre (SJMC) and diagnosed with high-grade Fibromyxoid Sarcoma on his right neck. Fibromyxoid Sarcoma is a rare form of soft tissue cancer that can affect different parts of the body, such as the arms, legs, abdomen, head and neck regions. It is characterised by the formation of solitary firm mass that can be difficult to detect, and it is often misdiagnosed as other types of tumour.
Due to its rarity and complexity, treating this is challenging for both patients and medical professionals. For Neng, the treatment that will offer him the best chance of cure would be surgery to remove the tumour followed by radiotherapy. No other forms treatment by itself can control the disease effectively.

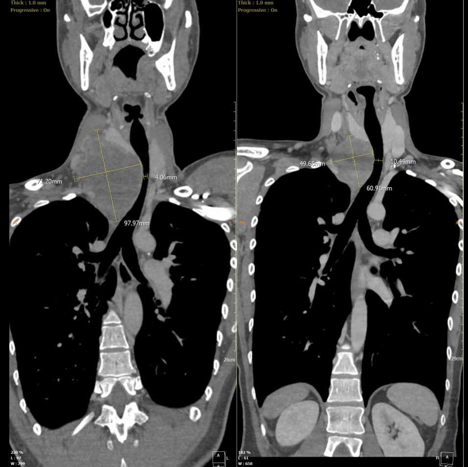
CT scan of Neng's tumour showing the size and how it is pressing against his airway.
“Advanced imaging showed that the tumour has encased and compressed the carotid artery, which is the main blood supply to the brain. The cancerous tumour in the right neck also displaced and compressed the airway. The tumour had extended down into the chest, reaching the level of the arch of the aorta close to the heart,” said Dr Eng Chee Yean, Consultant ENT, Head and Neck, Thyroid and Parathyroid Surgeon (lead surgeon).
This posed significant risks due to the proximity of the tumour to major nerves, blood vessels, airway, and the heart. A failed surgery could mean coma, stroke, dependence on breathing machine permanently, or even death. Neng's case was further complicated by the rapid growth of the tumour compressing his airway causing difficulty in breathing and therefore required urgent surgery. The patient and surgical team were battling against time.
Despite the significant challenges and the inherent risks of treatment, Neng and his family were determined to fight this cancer. After meticulous planning and informed consent, Neng proceeded to have the surgery.
Dr Eng remarked, “I had to make sure that the tumour was removed completely from the neck without damaging the trachea and important nerves. Despite the complex nature of the case, Neng displayed tremendous courage, and we were determined to provide him with the best possible care.”
The multidisciplinary team comprised Dr Eng Chee Yean, Consultant ENT, Head and Neck, Thyroid and Parathyroid Surgeon (lead surgeon), Dr Kenny Cheng, Consultant Cardiothoracic Surgeon, Dr Liew Ngoh Chin, Consultant General and Vascular Surgeon, Dr Navinsatku Nithianandhan, Consultant Cardiac Anaesthesiologist, and Dr Winnie Ng Nyek Ping, Consultant Clinical Oncologist. This, together with a dedicated team of nurses and operating staff took up the challenge to perform the surgery and successfully removed the tumour without causing any complication.

"It's the little things that we take for granted, you know? I’m going to live my life to the fullest now."– Neng, Rare Cancer Survivor
Neng made a smooth and fast recovery. He is now going through post-operative radiotherapy.
He shared, “I would not have made it without the love and support of my family and the skills of the doctors. They saved my life. I want to live my life to the fullest and to travel to Japan once I am fully recovered.” Neng hopes that his story can inspire others who might be battling a rare form of cancer.
He added, “For me, the greatest relief was I could lie down flat again. It's the little things that we take for granted, you know? So, if you sense something wrong with your body, don't wait. Get it checked. You never know how much time you have left.”
This full story is also available on video https://bit.ly/nengcancerstory.
Doctors’ Diaries: Insights from the Surgical Team & Patient’s Family

Dr. Navinsatku Nithianandhan, Consultant Cardiac Anaesthesiologist recognised the high-risk nature of the surgery and the challenges that the team may face. There were a lot of factors to consider supporting this complex procedure and to monitor the patient closely, especially the heart and the brain. Dr Navin recounted, “The moment I extubated him, we knew everything was going to be well. I was elated and very thankful to be a part of this life changing surgery.”

Dr Kenny Cheng, Consultant Cardiothoracic surgeon recognised the intricate nature of Neng's medical condition right from the moment he examined Neng's medical records and imaging results. The extent of the tumour right down to the chest invading the arch of the aorta adjacent to the heart presented a unique challenge that required careful consideration and expertise. It involved splitting the chest bone and opening the chest cavity to operate on the biggest blood vessel around the heart. Dr Cheng knew that taking on this case would not be an easy task.

Dr Eng Chee Yean (Lead surgeon), Consultant ENT-Head and Neck Surgeon said that after conducting a thorough evaluation, the team had to carefully consider various potential risks associated with the procedure. The risks included the impact on Neng's blood vessels, airway, and blood flow to his brain. To mitigate these risks, a team of multidisciplinary specialists was put together and worked collaboratively to develop a comprehensive and effective treatment plan.

Dr Liew Ngoh Chin, Consultant Vascular surgeon shared that even though the major blood supply to the brain on the right had been cut-off, three other blood vessels - one from the opposite carotid artery and two from the back of the neck (vertebral arteries) to the brain, maintained flow into the brain by collaterals, particularly the vertebral artery on the side of the tumour.
“We must ensure it maintained a continuous flow or a massive stroke could occur. The main supply of this vertebral artery was also encased by the tumour and a bypass had to be performed first before the tumour surgery. Intraoperatively, the brain had to be closely monitored for any lack of blood flow. If the oxygen delivery drops, a temporary shunt had to be deployed to bypass the blood from the main artery to the brain.”

Dr Winnie Ng Nyek Ping (Consultant Clinical Oncologist) said that the symptoms of Fibromyxoid Sarcoma depend on tumour location, and diagnosis can be particularly challenging due to the location of the tumour. This form of cancer is typically low grade and is diagnosed in older individuals. However, for Neng the fibromyxoid sarcoma is high-grade and he is only in his 20s. Early detection of the disease and appropriate treatment is crucial to improve the chances of successful treatment. She has been monitoring Neng's radiotherapy treatment closely, and he is recovering remarkably well.
"Despite everything, Neng never lost his determination. With his commitment to his recovery journey and positive attitude, I'm confident that Neng will soon be back to living life as actively as ever."

SK Lim, Patient’s Sister
“We were referred to SJMC by a doctor friend and initially, we saw Dr Alex Tang Ah Lak, Consultant Vascular and Interventional Radiologist and Dr Mohd Haris Fadzillah, Consultant Physician and Haematologist as we initially suspected it could be lymphoma. When the diagnosis was high-grade Fibromyxoid Sarcoma, it was life shattering. I remember when the news was shared with him, I could see something in my brother broke. He was shocked, but we knew that he had a quiet strength in him to face the gruelling treatment process ahead.”

Mr Lim, Patient’s Father
“The collaboration between the doctors was a perfect teamwork. They gave me the confidence that my son’s life is safe in their hands despite the significant risks.”
Source
1. New Straits Times
2. Feminine Magazine
