
For years, Sophia struggled with intense period pain and heavy bleeding that disrupted her daily routine. At just 30, her days revolved around painkillers, iron supplements, and frequent bathroom breaks. What she believed were normal menstrual symptoms were actually signs of underlying conditions like menorrhagia and dysmenorrhea.
These issues impacted every part of her life, from work and social plans to sleep and confidence. Sophia’s experience is not uncommon. Many women silently endure these symptoms without realising they are linked to conditions like uterine fibroids or adenomyosis.
Note: The name has been changed to maintain confidentiality.
Understanding the Prevalence of Fibroids and Adenomyosis
According to Dr Alex Tang Ah Lak, Consultant Vascular and Interventional Radiologist at Subang Jaya Medical Centre, many women are unaware of how common fibroids and adenomyosis are. He explains:
- One in three women will develop uterine fibroids by the age of 50
- More than 80 per cent remain undiagnosed for years
- One in ten women suffers from adenomyosis, often taking over seven years to get a diagnosis
Although not cancerous, these conditions can severely affect a woman’s quality of life. Common symptoms include heavy menstrual bleeding, pelvic pain, painful intercourse, infertility, and pressure on nearby organs. Early diagnosis and timely treatment are key to improving well-being.

Dr Alex Tang Ah Lak, Consultant Vascular and Interventional Radiologist at Subang Jaya Medical Centre (SJMC).
What Is Uterine Artery Embolisation (UAE)?
Uterine artery embolisation, also known as uterine fibroid embolisation, is a non-surgical procedure performed by Interventional Radiology specialists. It treats uterine fibroids by cutting off their blood supply, causing them to shrink and relieving symptoms.
The procedure involves inserting a small catheter through a tiny incision in the groin or wrist. Using real-time imaging, the interventional radiologist guides the catheter into the uterine arteries and injects tiny particles that block the blood vessels feeding the fibroids. This targeted approach allows treatment without removing the uterus.
It typically takes one to two hours and is done under local anaesthesia with light sedation. Most patients return home after a short overnight stay and resume daily activities within a week.
Benefits Beyond Uterine Fibroid Treatments
While uterine artery embolisation is widely known for its effectiveness in treating uterine fibroids, the benefits of this non-surgical treatment extend beyond fibroid management. UAE is also a valuable option for other serious gynaecological conditions, offering targeted relief with minimal invasiveness.
Conditions that can be effectively managed with UAE include:
- Adenomyosis, particularly when combined with hormonal therapy such as Gnrh agonist injections
- Postpartum haemorrhage (PPH), a life-threatening complication after childbirth
- Post-surgical bleeding or uterine pseudoaneurysms, which may occur following caesarean sections or other pelvic surgeries
- Cervical cancer-related bleeding, helping to manage severe or persistent blood loss
- Arteriovenous malformations (AVMs) within the uterus, which can cause abnormal or heavy bleeding
Dr Alex Tang notes that the UAE is especially beneficial as a uterus-preserving alternative to caesarean hysterectomy in emergency postpartum cases. By controlling severe bleeding without removing the uterus, UAE helps maintain a woman's fertility and reproductive potential—something highly valued by many patients.
Why Choose UAE Over Traditional Surgery?
Unlike hysterectomy or myomectomy, UAE is a minimally invasive procedure. Recovery takes just 7 to 10 days, compared to several weeks with traditional surgery.
Dr Alex Tang explains that UAE avoids large incisions, reduces the risk of infection and blood loss, and leaves no major scarring. Most importantly, it preserves the uterus, crucial for women who want to maintain fertility.
Effectiveness and Long-Term Outcomes
Studies show that up to 90% of women who undergo uterine artery embolisation for fibroids or adenomyosis treatment report significant improvements in pain, bleeding, and quality of life.
Although fibroids can occasionally recur, UAE has a lower recurrence rate (10–15%) than myomectomy (20–30%). Dr Alex Tang notes thatthe UAE also provides a strong foundation for future management, even if additional treatments are needed later.
Side effects are generally mild, including temporary pain, fever, or menstrual changes. Severe complications are rare.

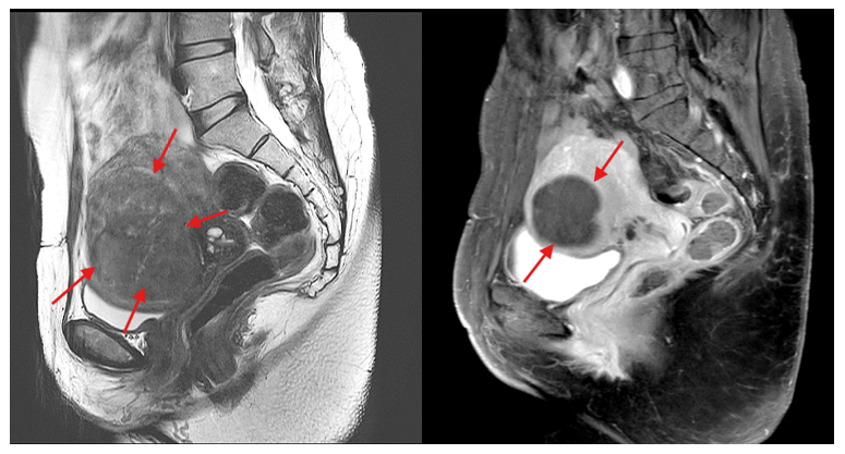
45 year old female with heavy period, anaemia with severe pain from extensive uterine adenomyosis. UAE was done after 2 injections of hormone (GnRH agonist). The MRI image on the left showed gross diffuse darkening of uterine tissue (left) from the tumor invasion. The image on the right 1 year after UAE showed complete shrinkage of the adenomyosis with an avascular scar (right). She achieved complete symptomatic relieve and enjoys a great life post UAE.
Recovery Tips for Women Undergoing UAE
After the procedure, patients may feel mild cramping or fatigue for a few days. Dr Alex Tang recommends:
- Eating light, nutritious meals
- Getting adequate rest
- Avoiding intense physical activity during recovery
- Attending follow-up appointments
Regular check-ups ensure continued fibroid shrinkage and symptom relief.
Empowering Women with Non-Surgical Solutions
Dr Alex Tang encourages women not to dismiss heavy bleeding or intense period pain as something to endure. “Fibroids and adenomyosis can severely affect daily life, but they are treatable,” he says.
Uterine artery embolisation in Malaysia is a proven, minimally invasive solution that can restore comfort, preserve fertility, and give women their lives back.
Source:
